The only clinic in Budge Budge to introduce laser surgery.
Serving New Alipore, Budge Budge and Pujali.

B.D.S(DOUBLE HONOURS), Certificate in Laser Dentistry from University Of Indianapolis Certified Implantologist from ICOI Affiliate Fellowship Microdentistry from MUHS

B.D.S(Honours), University Topper 2008 Certified Laser Dentist from University Of Indianapolis. Certified Platinum member of DSC IDA
Welcome to Pearls Shine Oral and Dental Care. We are proud to be among the pioneers in Kolkata to introduce revolutionary technologies.
Precision soft tissue procedures using advanced diode lasers. Experience bloodless, painless surgery with faster healing.
New to Pearls Shine? Experience our state-of-the-art care with a comprehensive consultation package including digital X-rays and a personalized treatment plan.
*Terms and conditions apply. Valid for new patients only.
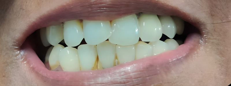
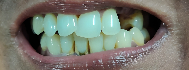
See the difference our expert care makes. Drag the slider to compare.
Before
After
"The clinic in New Alipore is fantastic. Dr. Pandey explained the implant process perfectly."
"Very hygienic and modern clinic. Best dental experience I have had in Kolkata."
"Dr. Pandey immediately diagnosed the issue. Pain gone! Highly recommend the Budge Budge branch."
"My root canal at the Budge Budge clinic was completely painless. Thank you team!"
"The clinic in New Alipore is fantastic. Dr. Pandey explained the implant process perfectly."
"Very hygienic and modern clinic. Best dental experience I have had in Kolkata."
"Dr. Pandey immediately diagnosed the issue. Pain gone! Highly recommend the Budge Budge branch."
"My root canal at the Budge Budge clinic was completely painless. Thank you team!"